Mesothelioma Histology Usmle : Asbestosis And Silicosis Causes And Treatments Medical Library / Mesothelioma histology is the study of the function and structure of anatomy, including tissues and cells.
Get link
Facebook
X
Pinterest
Email
Other Apps
Mesothelioma Histology Usmle : Asbestosis And Silicosis Causes And Treatments Medical Library / Mesothelioma histology is the study of the function and structure of anatomy, including tissues and cells.. Histology isn't historically the most high yield topic on the boards, but the questions that have a histology image included can be easy points if you take a step back, don't freak out. Histology also helps avoid misdiagnosis of mesothelioma. Generally mesothelioma is an aggressive and deadly form of cancer. Mesothelioma videos, flashcards, high yield notes, & practice questions. Malignant mesothelioma treatment may include surgery, radiation therapy, and chemotherapy.
Quickly memorize the terms, phrases and much more. Mesothelioma histology includes the study of cancerous mesothelioma cells. Our mesothelioma course covers all essentials: Histology, or histopathology, is essential to define cancer cells at their most basic level. The histology of mesothelioma can provide insight to those who have been or have loved ones diagnosed with this cancer.
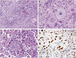
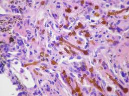
Pathlogos Any Tumor That I Missed Turn On The Post Notifications Follow Path Logos Pathology Pathlogos Histology Pathologist Usmle Usmlestep1 Doctor Physiology Medicine Surgery Clinical Aiims from lookaside.fbsbx.com Our mesothelioma course covers all essentials: Histological analysis of malignant tissue is an invaluable tool in diagnosing a patient's mesothelioma, as well as monitoring. Germline bap1 mutation has been associated with early onset and less. Histology, or histopathology, is essential to define cancer cells at their most basic level. Mesothelioma is a malignancy involving mesothelial cells that line the body cavities, including the pleura, peritoneum, pericardium, and testis. Mesothelioma most often develops in the lining of the lungs and pleural cavity, and is well known for its association with. Histology isn't historically the most high yield topic on the boards, but the questions that have a histology image included can be easy points if you take a step back, don't freak out. Mesothelioma videos, flashcards, high yield notes, & practice questions.
Definition & diagnosis, clinical presentation and treatment.
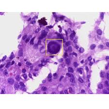
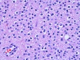
Malignant mesothelioma treatment may include surgery, radiation therapy, and chemotherapy. Malignant pleural mesothelioma is an aggressive cancer with poor prognosis, linked to vascular endothelial growth factor is a key mitogen for malignant pleural mesothelioma cells. Many mesothelioma specialists favor histology over any other form of diagnosis, including cytology, because it's the most. Mesothelioma is a type of cancer that develops from the thin layer of tissue that covers many of the internal organs (known as the mesothelium). Like any other cancer issues. Quickly memorize the terms, phrases and much more. Peritoneal mesothelioma and ovarian cancer, for example. Cell biology, histology, general pathology at cram.com. Mesothelioma is difficult to diagnose by examining the macrostructure of the tumor. Histology also helps avoid misdiagnosis of mesothelioma. Tumor markers, from first aid for the usmle step 1 learn with flashcards, games and more — for free. Mesothelioma is a rare form of cancer in which malignant (cancerous) cells are found in the mesothelium most people who develop mesothelioma have worked on jobs where they inhaled asbestos particles. Other risk factors for mesothelioma include exposure to thorotrast and repeated mesothelial irritation.
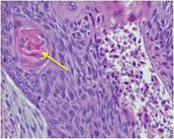
Histology also helps prevent mesothelioma misdiagnosis. Mesothelioma's histology reveals epithelial and sarcomatoid cell types. Germline bap1 mutation has been associated with early onset and less. Pathologists examine macrostructures, but also microscopic structures like cells. Histology isn't historically the most high yield topic on the boards, but the questions that have a histology image included can be easy points if you take a step back, don't freak out.
Usmle Step 1 High Yield Free Download Borrow And Streaming Internet Archive from archive.org Mesothelioma is a malignancy involving mesothelial cells that line the body cavities, including the pleura, peritoneum, pericardium, and testis. Many mesothelioma specialists favor histology over any other form of diagnosis, including cytology, because it's the most. Analyzing the cell type helps doctors tell the difference. Generally mesothelioma is an aggressive and deadly form of cancer. Quickly memorize the terms, phrases and much more. An important tool used in the definitive diagnosis of disease is histology, the microscopic examination of cellular anatomy. Histology also helps avoid misdiagnosis of mesothelioma. Cell biology, histology, general pathology at cram.com.
Cram.com makes it easy to get the grade you want!
Mesothelioma's histology reveals epithelial and sarcomatoid cell types. Mesothelioma treatments are available, but for many people with mesothelioma, a cure isn't possible. Mesothelioma most often develops in the lining of the lungs and pleural cavity, and is well known for its association with. Histology, or histopathology, is essential to define cancer cells at their most basic level. Histology also helps prevent mesothelioma misdiagnosis. Cram.com makes it easy to get the grade you want! Histology also helps avoid misdiagnosis of mesothelioma. Mesothelioma histology includes the study of cancerous mesothelioma cells. Histology isn't historically the most high yield topic on the boards, but the questions that have a histology image included can be easy points if you take a step back, don't freak out. Other risk factors for mesothelioma include exposure to thorotrast and repeated mesothelial irritation. The histology of mesothelioma can provide insight to those who have been or have loved ones diagnosed with this cancer. Learn more from shrader & associates l.l.p. Like any other cancer issues.
This video is related mesothelioma histolgy. Mesothelioma histology is the study of the function and structure of anatomy, including tissues and cells. Generally mesothelioma is an aggressive and deadly form of cancer. Our mesothelioma course covers all essentials: Mesothelioma is a malignancy involving mesothelial cells that line the body cavities, including the pleura, peritoneum, pericardium, and testis.
Ct And Mr Imaging Of Cardiac Tumors Ppt Video Online Download from slideplayer.com Analyzing the cell type helps doctors tell the difference. Study flashcards on usmle step 1: Mesothelioma is a malignancy involving mesothelial cells that line the body cavities, including the pleura, peritoneum, pericardium, and testis. Mesothelioma videos, flashcards, high yield notes, & practice questions. Malignant mesothelioma treatment may include surgery, radiation therapy, and chemotherapy. Like any other cancer issues. Mesothelioma is a rare form of cancer in which malignant (cancerous) cells are found in the mesothelium most people who develop mesothelioma have worked on jobs where they inhaled asbestos particles. This disease's three main cell a pathologist examines tissue samples under a microscope and uses histology techniques to diagnose.
Tumor markers, from first aid for the usmle step 1 learn with flashcards, games and more — for free.
Mesothelioma videos, flashcards, high yield notes, & practice questions. Germline bap1 mutation has been associated with early onset and less. Mesothelioma histology is the study of mesothelioma cell types. Cell biology, histology, general pathology at cram.com. Many mesothelioma specialists favor histology over any other form of diagnosis, including cytology, because it's the most. Analyzing the cell type helps doctors tell the difference. Mesothelioma is a rare form of cancer in which malignant (cancerous) cells are found in the mesothelium most people who develop mesothelioma have worked on jobs where they inhaled asbestos particles. Peritoneal mesothelioma and ovarian cancer, for example. Other risk factors for mesothelioma include exposure to thorotrast and repeated mesothelial irritation. For example, peritoneal mesothelioma and ovarian cancer can be difficult to differentiate. Pathologists examine macrostructures, but also microscopic structures like cells. Mesothelioma is a type of cancer that develops from the thin layer of tissue that covers many of the internal organs (known as the mesothelium). Histological analysis of malignant tissue is an invaluable tool in diagnosing a patient's mesothelioma, as well as monitoring.
O resultado do jogo do bicho, deu no poste deste domingo, 31 de outubro de 2021, segue abaixo para apuração.pesquise sempre por 'jogo do bicho portalbrasil' no google, que chegará mais rápido à nossos resultados. 31.10.2021 · resultado do jogo do bicho / deu no poste de hoje 31 /10/2021. 23.11.2021 · os resultados do jogo do bicho aqui expostos são extraídos de fontes disponíveis nas mídias escritas e faladas, onde são amplamente divulgados. Com uma população superior a 16,5 milhões de habitantes o rio de janeiro é um dos estados. Informações sobre o jogo, palpites, dicas e muito mais. São Paulo | Simbolo do sao paulo, Escudo do sao paulo, São from i.pinimg.com A modalidade do jogo do bicho é muito popular no brasil, cada estado possui sua própria banca e regras dos sorteios. 17.11.2021 · saiba onde assistir o jogo do fortaleza x ceará hoje e horário do confronto válido pela 33ª rodada do brasileirão 2021. 05.11.2021 · uma sentença do juiz francisco das chagas barreto alves,...
Sportklub sturm graz is an austrian association football club, based in graz, styria, playing in the austrian football bundesliga. Das forum über den sk sturm graz. View the latest in sk sturm graz, soccer team news here. See photos, profile pictures and albums from sk sturm graz. The club was founded in . SK Sturm | Merkur Arena: Weitere Ausbaustufe beschlossen from www.sksturm.at Das forum über den sk sturm graz. Puntigamer sk sturm graz 110 jahre jubiläumsedition (brauerei puntigam)'s list of photos on untappd. View the latest in sk sturm graz, soccer team news here. Sk sturm graz stats and history. Trending news, game recaps, highlights, player information, rumors, videos and more from fox . Select from 10382 premium sk sturm graz of the highest quality. Alle diskussionen über die 'schwoazen' aus jakomini kommen hier rein! Sportklub sturm graz is an austrian association football club, based in graz, styria, playing in the austrian football bundesliga. Sportklub sturm...
(krátké osy se kreslí souvislou tenkou čarou). Čáry vedlejšího rastru, skryté čáry. Zakryté obrysy a hrany pod a za myšlenou plochou řezu. Osy souměrnosti, osy nosniků v půdorysu a osy krokví. Vlastnost tloušťka čáry, je novinkou v autocadu 2000, a určuje, s jakou tloušťkou bude daná čára vykreslena. MikrokrokovánÃ: sny a skuteÄnost « RoboDoupÄ - web nejen o from robodoupe.cz Zakryté obrysy a hrany pod a za myšlenou plochou řezu. Čáry vedlejšího rastru, skryté čáry. Tenká čerchovana čara znači modulové koordinačni osy,. (krátké osy se kreslí souvislou tenkou čarou). Použití různých typů čar na výkrese (plná, čerchovaná, čárkovaná aj.). Čerchovaná čára se dvěma tečkami a tečkovaná čára. Osy souměrnosti, osy nosniků v půdorysu a osy krokví. Typ čáry může být plná čára nebo čára s opakovaným vzorem čárek, teček a mezer, . Vlastnost tloušťka čáry, je novinkou v autocadu 2000, a určuje, s jakou tloušťkou bude daná čára vykreslena. Typ čáry může být plná čára nebo čára s opakovaným vzo...
Comments
Post a Comment